Portable Color Doppler Ultrasoundn
The Hpower platform features cutting-edge full-range imaging technology, enabling high-speed processing of lossless data. Combined with pixel-level beamforming technology, it significantly enhances signal accuracy and imaging speed. Breaking through the traditional limitations of ultrasound in spatiotemporal resolution, it delivers clearer and more precise images for reliable clinical diagnosis.
Loseless Processing, Precision Presentation
The Hpower platform features cutting-edge full-range imaging technology, enabling high-speed processing of lossless data. Combined with pixel-level beamforming technology, it significantly enhances signal accuracy and imaging speed. Breaking through the traditional limitations of ultrasound in spatiotemporal resolution, it delivers clearer and more precise images for reliable clinical diagnosis.
Probe
A comprehensive transducer portfolio addresses diverse clinical needs. Continuous probe innovation ensures high-quality imaging across applications. Integrated smart-assisted diagnosis and auto-measurement functions significantly boost diagnostic efficiency.
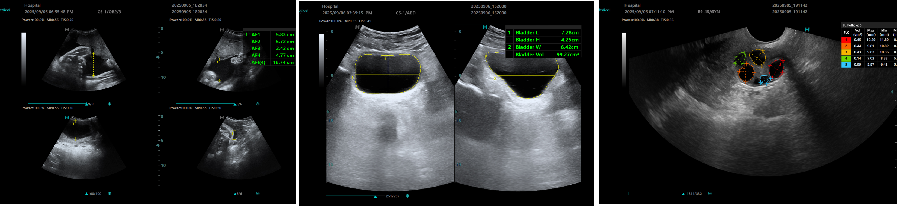
Intelligent Assistance, Precision Measurement
Smart Assisted Diagnosis and: Auto Measurement Functions of Key Parameters Enhance Diagnostic Efficiency.
One-Touch Control, Simplifying Complexity
Intelligent algorithms of scanning planes and depth in real-time, optimized parameters and image quality automatically for precise imaging
Clinical Imaging
Continuous probe innovation ensures high-quality imaging across applications.